
Jenseits von Mendel: Wissenschaftler sehen neues Verständnis der Genetik
Renommierte Wissenschaftler plädieren in der Fachzeitschrift „Genetics“ für einen Paradigmenwechsel auf dem Feld der Genetik.
Protein in Blutgefäßen versetzt Tumorzellen in Tiefschlaf
Membranprotein PEAR1 verhindert Entstehung von Metastasen
Erfolge des Max-Planck-Instituts für Herz- und Lungenforschung erfreuen Kuratorium
Kuratorien von Institut und William G. Kerckhoff-Stiftung machen sich für Zukunft des Instituts stark
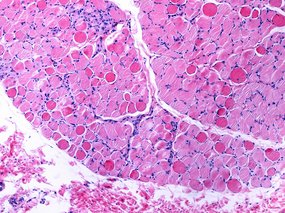
Wie Muskelstammzellen ihren Zellkern intakt halten, um ihre Regenerationsfähigkeit zu bewahren
Transkriptionsfaktor TAF4A schützt den Zellkern in Muskelstammzellen und initiiert die Muskelregeneration nach einer Verletzung
Proteinschalter in Blutgefäßen verstärkt Schäden bei Gefäßerkrankungen
GPR153 fördert als Reaktion auf akute Schäden der Gefäße entzündliche Reaktionen in deren Wand
Komplexe Steuerungsprozesse für ein komplexes Organ: Wie zwei verwandte Proteine zusammenarbeiten um die Entwicklung des Herzens zu steuern.
RBPMS und RBPMS2 regulieren Zellteilung und -funktion während der Herzentwicklung
EU fördert Max-Planck-Team bei Entwicklung einer Therapie gegen Muskelschwund
„Proof of Concept Grant“ des European Research Councils für Erforschung einer RNA-basierten Therapie bei Duchenne-Muskel-Dystrophie
Sie finden uns an zwei Standorten in Bad Nauheim: Im Neubau in der Ludwigstraße 43 und im Altbau in der Parkstraße 1.

Wie Muskelstammzellen ihren Zellkern intakt halten, um ihre Regenerationsfähigkeit zu bewahren
13. Oktober 2025Transkriptionsfaktor TAF4A schützt den Zellkern in Muskelstammzellen und initiiert die Muskelregeneration nach einer Verletzung

„Genetische Selbsthilfe“ gezielt aktivieren: Eva Luise Köhler Forschungspreis für Didier Stainier
21. Juni 2025Didier Stainier erhält Eva Luise Köhler Forschungspreis für Seltene Erkrankungen für Grundlagenforschung an Muskelerkrankung Duchenne-Muskeldystrophie.

Erneuter Erfolg bei der Exzellenzinitiative
22. Mai 2025Max-Planck-Institut erneut zusammen mit den Universitäten Gießen und Frankfurt bei der Exzellenzinitiative des Bundes erfolgreich

Mechanismus zur Behandlung von Muskelschwund entdeckt
12. Februar 2025Utrophin-Anstieg in Muskelzellen nach transkriptionaler Adaptation normalisiert Zellfunktion bei Duchenne Muskeldystrophie

Recycling ist auch im menschlichen Körper wichtig. Ein gestörtes Recycling von Proteinen schädigt die Herzgesundheit.
22. Januar 2025Ein Enzym namens Ubiquitin-spezifische Peptidase 5 ist ein bestimmender Faktor für die Proteinqualität in Herzmuskelzellen.
Unsere Forschungsabteilungen

Thomas Braun
Entwicklung und Umbau des Herzens
(Abt. I)
Schwerpunkt der Abteilung sind die molekularen Grundlagen der Entwicklung und der Entstehung von Erkrankungen des Herzens sowie Regenerations- und Reparaturprozesse.

Stefan Offermanns
Pharmakologie
(Abt. II)
Im Fokus stehen zelluläre Signalwege sowie Mechanismen pathophysiologischer Prozesse im kardiovaskulären und metabolischen System sowie bei Tumorerkrankungen.

Didier Stainier
Entwicklung der Genetik
(Abt. III)
Die Abteilung untersucht Fragen der Organogenese einschließlich Zelldifferenzierung, Gewebemorphogenese, Organhomöostase und -funktion sowie Organregeneration.
Unsere Forschungsgruppen

Karin Ziegler
Neurokardiale Achse – Neuroimmunologie bei Herzkrankheiten
Die Forschungsgruppe untersucht die Rolle des sympathischen Nervensystems bei kardiovaskulären Krankheiten.

Reymond Sutandy
Zellresilienz
Die Forschungsgruppe untersucht, wie Zellen unter Stress resilient bleiben und wie Mitochondrien dabei als Signalmoleküle wirken.

Lei Gu
Epigenetik
Das Labor kominiert Bioinformatik, Epigenomik, Krebsbiologie, Fliegengenetik und Massenspektroskopie, um die Rolle neuartiger epigenetischer Modifikationen zu identifizieren und zu untersuchen.

Pieterjan Dierickx
Circadiane Rhythmik des Herzstoffwechsels
Das Labor untersucht, wie die zirkadiane Uhr rhythmische Prozesse im Herzen steuert.















